건강의학

골절 이란?!

Mr.runner 2025. 1. 30. 01:29
골절은 뼈가 부러지는 것입니다. 대부분의 골절은 정상 뼈에 가해지는 한 번의 중요한 힘으로 인해 발생합니다.

 

 

 

골절 외에도 근골격계 부상에는 다음이 포함됩니다

근골격계 손상은 흔하며 메커니즘, 중증도 및 치료법이 매우 다양합니다. 사지, 척추 및 골반이 모두 영향을 받을 수 있습니다.

일부 골절은 THE MANUAL의 다른 곳에서 논의됩니다.

근골격계 손상은 단독으로 발생하거나 다계통 외상의 일부로 발생할 수 있습니다(외상 환자에 대한 접근 방식 참조). 대부분의 근골격계 부상은 둔기에 의한 외상으로 인해 발생하지만, 관통 외상은 근골격계 구조를 손상시킬 수도 있습니다.

 

 

골절의 병태생리학

골절은 다음 중 하나일 수 있습니다.

  • 개방성: 위에 있는 피부가 파괴되고 부러진 뼈가 피부 상처를 통해 환경과 소통합니다.
  • 닫힘: 위에 놓인 피부가 손상되지 않았습니다.

병리학적 골절은 장애(예: 골다공증, 암, 감염, 뼈 낭종)에 의해 약화된 뼈 부위를 경미하거나 최소한의 힘으로 골절할 때 발생합니다. 골다공증이 골다공증인 경우, 이러한 골절은 종종 부전성 골절 또는 취약성 골절이라고 불립니다.

스트레스 골절은 장거리 주자나 무거운 짐을 들고 행군하는 군인에서 발생할 수 있는 적당한 힘의 반복적인 적용으로 인해 발생합니다. 일반적으로 중간 정도의 힘으로 인한 미세 외상에 의해 손상된 뼈는 휴식 기간 동안 자가 복구되지만 동일한 위치에 반복적으로 힘을 가하면 추가 손상이 발생하기 쉽고 미세 외상이 전파됩니다.

치유

뼈는 환자의 나이와 공존하는 질환에 따라 다양한 속도로 치유됩니다. 예를 들어, 어린이는 성인보다 훨씬 빨리 치유됩니다. 말초 순환을 손상시키는 장애(예: 당뇨병, 말초 혈관 질환)는 치유를 늦춥니다.

골절은 3단계로 치유됩니다.

  • 염증 성
  • 회복
  • 개장

염증 단계가 먼저 발생합니다. 골절 부위에 혈종이 형성되고 원위 골절 조각의 소량의 뼈가 재흡수됩니다. 골절선이 초기에 뚜렷하지 않은 경우(예를 들어, 일부 비변위 골절에서), 이 소량의 뼈가 재흡수됨에 따라 일반적으로 부상 후 약 1주일 후에 명백해집니다.

회복 단계에서는 굳은살이 형성됩니다. 새로운 혈관이 발달하여 골절선을 가로질러 연골이 형성될 수 있습니다. 고정화(예: 캐스팅)는 새로운 혈관이 자랄 수 있도록 처음 2단계 동안 필요합니다. 회복 단계는 골절의 임상적 유합으로 끝납니다(즉, 골절 부위에 통증이 없을 때 손상된 사지를 통증 없이 사용할 수 있으며 임상 검사에서 뼈의 움직임이 감지되지 않음).

리모델링 단계에서는 원래 연골이었던 굳은살이 골화되어 뼈를 분해하여 재건(리모델링)합니다. 이 단계에서 환자는 하중을 견디는 스트레스를 가하는 것을 포함하여 손상된 부분을 점차적으로 정상적으로 다시 움직이도록 지시해야 합니다.

합병증

골절의 심각한 합병증은 드물지만 생명이나 사지의 생존 능력을 위협하거나 영구적인 사지 기능 장애를 유발할 수 있습니다. 개방성 골절(감염에 취약함)과 혈관, 조직 관류 및/또는 신경을 방해하는 골절의 경우 합병증의 위험이 높습니다. 혈관이나 신경을 침범하지 않는 폐쇄성 골절, 특히 빠르게 감소하는 골절은 심각한 합병증을 초래할 가능성이 가장 적습니다.

급성 합병증(관련 부상)은 다음과 같습니다.

  • 출혈: 출혈은 모든 골절(및 연조직 손상)을 동반합니다. 드물게, 내부 또는 외부 출혈이 출혈성 쇼크를 일으킬 만큼 충분히 심각합니다(예: 골반, 대퇴골 및 일부 개방성 골절).
  • 혈관 손상: 일부 개방성 골절은 혈관을 방해합니다. 일부 폐쇄 골절, 특히 후방 전위된 상완골 골절은 원위 사지 허혈을 유발할 만큼 혈관 공급을 충분히 방해합니다. 이러한 혈관 파괴는 부상 후 몇 시간 동안 임상적으로 잠복적일 수 있습니다.
  • 신경 손상: 골절된 뼈의 변위된 조각에 의해 늘어날 때, 둔기에 맞아 타박상을 입었을 때, 심한 압착 부상으로 짓눌렸을 때 또는 날카로운 뼈 조각에 의해 찢어졌을 때 신경이 손상될 수 있습니다. 신경에 멍이 들면(신경전도라고 함) 신경 전도가 차단되지만 신경이 찢어지지는 않습니다. Neurapraxia는 일시적인 운동 및/또는 감각 장애를 일으킵니다. 신경 기능은 약 6-8주 내에 완전히 회복됩니다. 신경이 으스러지면(축삭돌기라고 함) 축삭돌기는 손상되지만 미엘린 수초는 손상되지 않습니다. 이 부상은 신경전도증보다 더 심각합니다. 손상 정도에 따라 신경은 몇 주에서 몇 년에 걸쳐 재생될 수 있습니다. 일반적으로 개방성 골절에서 신경이 찢어집니다(신경근막이라고 함). 찢어진 신경은 저절로 치유되지 않으며 수술로 치료해야 할 수도 있습니다.
  • 폐색전증: 고관절 또는 골반 골절이 있는 환자에서는 폐색전증의 위험이 높습니다. 폐색전증은 고관절 또는 골반의 심각한 골절의 가장 흔한 치명적인 합병증입니다.
  • 지방 색전증: 긴 뼈의 골절(가장 흔하게는 대퇴골 골절)은 폐로 색전술을 일으키고 호흡기 합병증을 동반한 폐색전증을 유발하는 지방(및 기타 골수 내용물)을 방출할 수 있습니다.
  • 구획 증후군(Compartment syndrome): 닫힌 근막 공간에서 조직 압력이 증가하여 혈관 공급을 방해하고 조직 관류를 감소시킵니다. 압착 부상이나 현저하게 분쇄된 골절이 흔한 원인이며, 부종이 진행됨에 따라 조직 압력이 증가합니다. 요골과 척골을 모두 침범하는 팔뚝 골절, 경골 고원 골절(관절 공간까지 확장되는 근위 경골 골절) 또는 경골 축 골절의 위험이 높습니다(1). 치료되지 않은 구획 증후군은 횡문근융해증, 고칼륨혈증 및 감염으로 이어질 수 있습니다. 장기적으로 구축, 감각 결핍 및 마비를 유발할 수 있습니다. 구획 증후군은 사지의 생존 가능성(절단이 필요할 수 있음)과 생존을 위협합니다.
  • 감염: 모든 골절은 감염될 수 있지만, 절개 또는 수술 치료를 받은 골절이 가장 위험합니다. 급성 감염은 완치가 어려울 수 있는 골수염으로 이어질 수 있습니다.

골절의 장기적인 합병증 다음과 같습니다.

  • 불안정성: 다양한 골절은 관절 불안정으로 이어질 수 있습니다. 불안정성은 장애를 일으킬 수 있으며 골관절염의 위험을 증가시킬 수 있습니다.
  • 뻣뻣함 및 운동 범위 장애: 관절로 확장되는 골절은 일반적으로 관절 연골을 파괴하며, 잘못 정렬된 관절 연골은 흉터를 만들어 골관절염을 유발하고 관절 운동을 손상시키는 경향이 있습니다. 뻣뻣함은 관절이 장기간 고정되어야 하는 경우 더 가능성이 높습니다. 무릎, 팔꿈치, 어깨는 특히 노인에서 외상 후 뻣뻣함이 발생하기 쉽습니다.
  • 유합 불이행 또는 지연된 유합: 때때로 골절이 치유되지 않거나(불유합이라고 함) 유합이 지연됩니다. 주요 기여 요인에는 불완전한 고정화, 혈관 공급의 부분적 중단 및 치유를 손상시키는 환자 요인(예: 코르티코스테로이드 또는 갑상선 호르몬 사용)이 포함됩니다.
  • 부조화: 부조화는 잔류 기형으로 치유되고 있습니다. 골절이 적절하게 감소되고 안정화되지 않은 경우 더 가능성이 높습니다.
  • 골괴사: 골절 절편의 일부가 괴사할 수 있으며, 주로 혈관 공급이 손상될 때 발생합니다. 골괴사증이 발생하기 쉬운 폐쇄성 골절에는 주상골 골절, 전위된 대퇴골 경부 골절, 전위된 거골 경부 골절이 포함됩니다.
  • 골관절염: 관절의 체중 지지 표면을 파괴하거나 관절 정렬 불량 및 불안정을 초래하는 골절은 관절 연골 퇴행 및 골관절염을 유발합니다.
  • 사지 길이 불일치: 소아의 골절이 성장판과 관련된 경우 성장에 영향을 미쳐 한쪽 팔다리가 다른 팔다리보다 짧아질 수 있습니다. 성인의 경우 골절, 특히 대퇴골 골절의 외과적 치료는 다리 길이 불일치(2)를 초래할 수 있으며, 이로 인해 걷기가 어려워지고 짧은 다리를 위해 신발을 들어 올려야 할 수 있습니다.

합병증 참조

  1. 1. McQueen MM, Gaston P, Court-Brown CM : 급성 구획 증후군. 누가 위험에 처해 있습니까? J 뼈 관절 외과 BR 82 (2) : 200-203, 2000. PMID: 10755426
  2. 2. Vaidya R, Anderson B, Elbanna A, et al: IM 못 박기 후 분쇄된 대퇴골 샤프트 골절의 사지 길이 불일치에 대한 CT 스캔그램. 부상 43 (7):1176–1181, 2012. 도: 10.1016/j.injury.2012.03.022

골절 평가

  • 심각한 부상에 대한 평가
  • 병력 및 신체 검사
  • 골절을 확인하기 위한 X선
  • 때때로 MRI 또는 CT

응급실에서, 부상의 기전이 잠재적으로 심각하거나 다발성 부상(예: 고속 자동차 충돌 또는 높은 곳에서 떨어지는 부상)을 암시하는 경우, 환자는 먼저 머리부터 발끝까지 모든 장기 시스템에 심각한 손상이 있는지 평가하고 필요한 경우 소생술을 받습니다(외상 환자에 대한 접근 방식 참조).). 환자, 특히 골반 또는 대퇴 골절이 있는 환자는 잠복 출혈로 인한 출혈성 쇼크에 대해 평가합니다. 팔다리가 다치면 즉시 열린 상처 및 신경 혈관 손상의 증상 또는 징후 (무감각, 마비, 관류 불량) 및 구획 증후군 (예 : 부상에 비례하지 않는 통증, 창백함, 감각 이상, 냉기, 맥박이 없음)에 대해 평가됩니다.

임상의는 증상과 신체 검사 결과에 따라 골절을 의심할 수 있지만 진단을 확인하기 위해 영상(일반적으로 엑스레이)이 필요합니다.

환자는 인대, 힘줄, 근육 부상 및 골절 여부를 확인해야 합니다. 골절의 존재는 이 평가의 이 부분을 제한할 수 있습니다(예: 통증이 초기에 엄두를 내기 때문에 스트레스 테스트를 수행할 수 없음).

부상 부위 위와 아래의 관절도 검사해야 하는데, 이는 동반 부상과 동반 통증이 흔하기 때문입니다.

역사

메커니즘(예를 들어, 힘의 방향 및 크기)은 부상의 유형을 제안할 수 있다. 그러나 많은 환자들이 정확한 메커니즘을 기억하지 못하거나 설명할 수 없습니다.

부상 시 스냅 또는 팝이 감지되면 골절(또는 인대 또는 힘줄 부상)의 신호일 수 있습니다. 골절과 심각한 인대 부상은 일반적으로 즉각적인 통증을 유발합니다. 부상 후 몇 시간에서 며칠 후에 시작되는 통증은 경미한 부상을 암시합니다. 부상의 명백한 심각성에 비례하지 않거나 부상 직후 처음 몇 시간에서 며칠 동안 꾸준히 악화되는 통증  구획 증후군 또는 허혈을 암시합니다.

신체검사

시험에는 다음이 포함됩니다.

  • 부상 원위부의 혈관 및 신경학적 평가
  • 열린 상처, 기형, 부기, 반상출혈, 운동 범위의 감소 또는 비정상 검사
  • 압통, 틈새, 뼈 또는 힘줄의 심각한 결함에 대한 촉진
  • 부상 부위 위와 아래의 관절 검사(예: 어깨 관절, 경추 및 팔꿈치)
  • 골절 및 탈구를 제외한 후(임상적으로 또는 영상에 의해) 통증 및 불안정성에 대한 영향을 받는 관절의 스트레스 테스트

근육 경련 및 통증으로 인해 신체 검사(특히 스트레스 검사)가 제한되는 경우, 환자에게 전신 진통제 또는 국소 마취제를 투여한 후 검사가 더 쉬워지는 경우가 있습니다. 또는 근육 경련이 가라앉을 때까지 보통 며칠 동안 골절 부위를 움직이지 못하게 한 다음 환자를 다시 검사할 수 있습니다.

특정 소견은 골절이나 다른 근골격계 부상을 나타낼 수 있습니다.

기형은 골절을 나타낼 수 있지만 탈구 또는 아탈구(관절에서 뼈가 부분적으로 분리되는 것)를 나타낼 수도 있습니다.

부종은 일반적으로 골절이나 기타 심각한 근골격계 부상을 나타내지만 발병하는 데 몇 시간이 걸릴 수 있습니다. 이 시간 내에 부종이 발생하지 않으면 골절이 발생할 가능성은 거의 없습니다. 일부 골절(예: 버클 골절, 변위가 없는 작은 골절)의 경우 부종이 미묘할 수 있지만 거의 없는 경우는 없습니다.

압통은 거의 모든 근골격계 손상에 동반되며, 많은 환자에게 부상 부위 주변의 어느 부위가 만져도 불편함을 느낍니다. 그러나 한 국소 부위의 압통이 눈에 띄게 증가하면(점 압통) 골절을 암시합니다.

일부 골절의 경우 영향을 받은 뼈에서 결손이 만져질 수 있습니다.

크레피투스(관절이 움직일 때 발생하는 특징적인 만져지거나 들을 수 있는 갈림)는 골절의 징후일 수 있습니다.

상처 골절 근처에 있으면 골절은 열린 것으로 간주됩니다. 개방성 골절은 Gustilo-Anderson 시스템을 사용하여 분류할 수 있습니다.

  • 등급 I: 상처 < 1cm, 오염, 절단 및 연조직 손상 최소화
  • II 등급: 상처 > 1cm, 중등도의 연조직 손상 및 골막 박리 최소화
  • IIIA 등급: 심각한 연조직 손상 및 상당한 오염, 적절한 연조직 적용 범위
  • IIIB 등급: 심각한 연조직 손상 및 상당한 오염, 부적절한 연조직 적용 범위
  • IIIC 등급: 복원이 필요한 동맥 손상을 동반한 개방성 골절

등급이 높을수록 감염 위험이 높고 나중에 골수염이 발생할 위험이 있음을 나타냅니다. 그러나 이 시스템을 사용하는 관찰자 간 신뢰도는 높지 않으며(종종 약 60%), 특정 측면은 수술 중에 가장 잘 평가할 수 있습니다.

검사 중 특정 부위에 주의를 기울이면 자주 놓치는 부상을 감지하는 데 도움이 될 수 있습니다(일반적으로 놓치는 일부 골절에 대한 검사 참조).

 

 

일반적으로 놓치는 골절에 대한 검사(표 참고)

증상

특성 이력

물리적 소견

부상

손 통증 손과 손목의 과신전 등쪽 손목의 압통 삼중골 골절
팔꿈치 통증 뻗은 손에 넘어짐 팔뚝을 펴고 발음할 때 팔꿈치 통증 요골 두부 골절
손목 통증 또는 부기 뻗은 손에 넘어짐 해부학적 스너프박스에 대한 압통(반경 바로 원위부에 위치, extensor pollicis longus, extensor pollicis brevis 및 abductor pollicis longus 힘줄 사이) 주상골 골절
다양한 메커니즘 월상 포사(3번째 중수골 기저부의 손목)에 대한 압통 및 3번째 중수골의 축 압박으로 인한 통증 월상 골절
월상 또는 주월상 전위
고관절 통증 가을 무릎을 구부릴 때 수동적 고관절 회전 중 통증
엉덩이를 구부릴 수 없음
다리를 외부에서 회전하고 짧게 만들었습니다.
일반 엑스레이가 정상임에도 불구하고 체중을 견딜 수 없음(특히 골다공증 환자의 경우)
고관절 골절
어린이 또는 청소년의 무릎 통증 다양한 메커니즘 무릎을 구부릴 때 수동적 고관절 회전 중 통증 고관절 부상(예: 미끄러진 대퇴골 골단증, Legg-Calvé-Perthes 병)
발목 통증 구멍에 빠지거나 발을 딛습니다.
트위스트 메커니즘
발목이 붓고 압통됨
외측 무릎의 압통
Maisonneuve 골절(비골의 근위 3분의 1의 나선형 골절과 원위 경골 비골 합근 및 골간막의 파열)
다른 일반적으로 놓치는 부상에 대해서는 Examination for Some Commonly Missed Soft-tissue Injuries  Examination for Some Commonly Missing Injuries를 참조하십시오.

 

 

 

 

 

 

환자가 통증이라고 말하는 관절의 신체 검사가 정상인 경우, 그 원인은 통증이라고 할 수 있습니다. 예를 들어, 대퇴골 골단골이 미끄러진 환자 (또는 드물게 고관절 골절)가 있는 환자는 무릎에 통증을 느낄 수 있습니다.

이미징

의심되는 모든 골절에 영상이 필요한 것은 아닙니다. 일부 골절은 경미하며 연조직 손상과 유사하게 치료됩니다. 예를 들어, 대부분의 발가락 2-5 부상과 많은 손가락 끝 부상은 골절의 유무에 관계없이 증상에 따라 치료됩니다. 따라서 X선이 필요하지 않습니다. 발목 염좌가 있는 많은 환자에서 치료 변경이 필요한 골절을 발견할 확률은 허용 가능한 수준으로 낮으므로 엑스레이가 필요하지 않습니다. 발목 염좌의 경우, 엑스레이를 얻기 위해 일반적으로 인정되는 기준(오타와 발목 규칙)은 특정 치료가 필요한 골절이 있을 가능성이 더 높은 환자에게 엑스레이를 제한하는 데 도움이 될 수 있습니다.

이미징이 필요한 경우 일반 X-ray를 먼저 수행합니다.

일반 엑스레이는 주로 뼈(및 출혈 또는 잠복 골절에 이차적으로 발생하는 관절 삼출)를 보여주기 때문에 골절을 진단하는 데 유용합니다. 그들은 다른 평면에서 찍은 최소 2개의 견해(일반적으로 전후 및 측면 견해)를 포함해야 합니다.

추가적인 뷰(예를 들어, 비스듬한)는 다음과 같은 경우에 수행될 수 있다

  • 평가 결과 골절이 발견되었고 2개의 예측은 음성입니다.
  • 이는 특정 관절에 대해 일상적입니다(예: 발목을 평가하기 위한 장붓 구멍 보기, 발을 평가하기 위한 비스듬한 보기).
  • 특정 이상이 의심됩니다.

숫자의 측면 보기의 경우 관심 있는 숫자를 다른 숫자와 분리해야 합니다.

다음과 같은 경우 MRI 또는 CT를 사용할 수 있습니다.

  • 골절은 일반 엑스레이에서는 보이지 않지만 임상적으로 강하게 의심됩니다(주상골 골절 및 매복 대퇴골 경부[수도하] 고관절 골절에서 일반적임).
  • 치료를 안내하기 위해 더 자세한 정보가 필요합니다(예: 견갑골 골절, 골반 골절 또는 관절 내 골절의 경우).

예를 들어, 낙상 후 소견에서 고관절 골절이 암시되지만 엑스레이 검사가 정상인 경우 잠복 고관절 골절을 확인하기 위해 MRI를 수행해야 합니다.

관련 부상을 확인하기 위해 다른 검사를 수행할 수 있습니다.

  • 동맥 손상이 의심되는지 확인하기 위한 동맥 조영술 또는 CT 혈관 조영술(일반적으로 무릎이 탈구된 경우 오금 동맥을 평가하기 위해 수행됨)
  • 근전도 및/또는 신경 전도 검사(즉시 수행되는 경우는 드물며, 일반적으로 부상 후 신경 증상이 몇 주에서 몇 달 동안 지속될 때 수행됨)

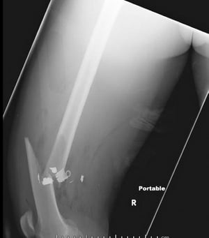
골절 설명

대퇴골 원위부의 나선형 골절
이미지

살아있는 예술 기업/과학 사진 라이브러리

X-ray에서 골절의 모양은 다음 용어를 사용하여 비교적 정확하게 설명할 수 있습니다.

파괴 위치에 대한 용어는 다음과 같습니다.

  • 등쪽 또는 볼라
  • Epiphysis (때로는 관절 표면 포함), 뼈 (머리)의 근위 끝 또는 원위 끝을 나타낼 수 있습니다
  • 형이상학(metaphysis, 목—epiphysis와 diaphysis 사이의 긴 뼈 부분)
  • Diaphysis (축, 근위부, 중간 또는 원위 3층으로 나뉜
 
골절선의 일반적인 유형
 
횡방향 골절은 뼈의 긴 축에 수직입니다.
비스듬 골절은 비스듬히 발생합니다.
나선형 골절은 회전 메커니즘에 의해 발생하며, X-ray에서는 적어도 1번의 시야에서 뼈의 긴 축에 평행한 구성 요소에 의해 경사 골절과 구별됩니다.
분쇄 골절에는 > 2개의 뼈 조각이 있습니다. 분쇄 골절에는 분절 골절(뼈에서 2개의 별도 골절)이 포함됩니다.
경련 골절은 힘줄이 뼈 조각을 빼내면서 발생합니다.
충격 골절에서는 뼈 조각이 서로 밀려 뼈가 짧아지며 이러한 골절은 섬유주의 국소 비정상 밀도 또는 뼈 피질의 불규칙성으로 보일 수 있습니다.
토러스 골절(뼈 피질의 좌굴)과 그린스틱 골절(피질의 한쪽에만 균열이 생기는 경우)은 소아 골절입니다.
 
 
 
다양한 유형의 골절
 
경골축의 횡방향 골절

이 횡방향 골절은 경골의 중축에 영향을 미칩니다.

이미지 제공: Danielle Campagne, MD.

 
 
 
 
 
 
 
 
 
 
 
 

파괴 단편 사이의 공간적 관계

산만함, 변위, 각도 조정 또는 단축(오버라이드)이 발생할 수 있습니다.
산만함은 세로 축에서 분리되는 것입니다.
변위는 파단된 끝이 서로 정렬되지 않는 정도로, 밀리미터 또는 골격 너비 백분율로 표시됩니다.
각도는 근위 단편에서 측정된 원위 단편의 각도입니다.
변위와 각도는 ventral-dorsal plane, lateral-medial plane 또는 둘 다에서 발생할 수 있습니다.
 

골절의 치료

  • 관련 부상의 치료
  • 지시에 따른 감소, 부목 및 진통
  • 표시된 대로 RICE(휴식, 얼음, 압박 및 상승) 또는 PRICE(부목 또는 깁스로 보호 포함)
  • 보통 부가 자세
  • 때때로 수술

초기 치료

심각한 관련 문제(있는 경우)가 먼저 처리됩니다. 출혈성 쇼크는 즉시 치료됩니다. 동맥 손상은 측부 순환이 좋은 작은 동맥에만 영향을 미치지 않는 한 외과적으로 치료됩니다. 구획 증후군을 치료합니다.

절단된 신경은 수술로 복구됩니다. 신경실조증 및 축삭반증의 경우 초기 치료는 일반적으로 관찰, 지원 조치, 때로는 물리 치료입니다.

개방성 골절이 의심되는 경우 멸균 상처 드레싱, 파상풍 예방, 광범위 항생제(예: 2세대 세팔로스포린과 아미노글리코사이드), 관개 및 괴사조직 제거(따라서 감염 예방)를 위한 수술이 필요합니다. 개방성 골절에서 감염 위험을 최소화하기 위해, 예를 들어 응급실 내원 후 1시간 이내에 IV 항생제를 조기에 투여해야 합니다(1).

대부분의 중등도 및 중증 골절, 특히 심하게 불안정한 골절은 통증을 줄이고 불안정한 골절로 인한 연조직의 추가 손상을 방지하기 위해 부목(비강성 또는 비원형 장치로 고정)으로 즉시 고정합니다. 장골 골절이 있는 환자의 경우 부목을 사용하면 지방 색전증을 예방할 수 있습니다.

통증은 일반적으로 오피오이드 또는 국소 신경 차단술로 가능한 한 빨리 치료합니다 . 환자에게 고립된 사지 골절이 있고 구획 증후군이 의심되지 않는 경우 국소 마취를 사용할 수 있습니다. 이 접근법은 오피오이드 사용을 최소화하는 데 도움이 될 수 있으며 오피오이드 단독보다 더 큰 통증 완화를 제공합니다(2).

초기 치료 후, 골절은 감소되고, 움직이지 않으며, 지시에 따라 증상에 따라 치료됩니다.

감소

회전 정렬 불량 또는 골절의 현저한 각도 또는 변위는 일반적으로 축소(조작에 의한 뼈 또는 뼈 조각의 재정렬)로 치료되며, 일반적으로 진통제 및/또는 진정제가 필요합니다. 예외에는 시간이 지남에 따라 리모델링을 통해 심각한 기형을 교정할 수 있는 어린이의 일부 골절이 포함됩니다.

폐쇄 축소술(피부 절개 없이 조작에 의해)은 가능한 경우 수행됩니다. 폐쇄 축소가 불가능한 경우 개방 축소(피부 절개 포함)가 수행됩니다. 마취가 필요합니다.

골절의 폐쇄 감소는 일반적으로 주조에 의해 유지되지만 일부 골절은 부목이나 슬링만 필요합니다.

골절의 개방성 축소는 일반적으로 외부 및/또는 내부의 다양한 수술 하드웨어에 의해 유지됩니다. ORIF(Open Reduction with Internal Fixation)에서는 핀, 나사 및 플레이트의 조합을 사용하여 파괴 조각을 정렬하고 제자리에 고정합니다. ORIF는 일반적으로 다음과 같은 경우에 표시됩니다.

  • 관절 내 골절은 변위됩니다(관절 표면을 정확하게 정렬하기 위해).
  • ORIF는 특정 유형의 골절에 대해 비수술적 치료보다 더 나은 결과를 제공합니다.
  • 폐쇄형 환원은 효과가 없었다.
  • 병리학적 골절은 암으로 약해진 뼈에서 발생합니다. 이러한 뼈는 정상적으로 치유되지 않으며, ORIF는 다른 치료법보다 통증이 빨리 감소하고 조기 보행이 가능합니다.
  • 장기간의 부동성(골절 치유에 필요함)은 바람직하지 않다(예를 들어, 고관절 또는 대퇴골 골절의 경우); ORIF는 초기에 구조적 안정성을 제공하고 통증을 최소화하며 이동을 용이하게 합니다.

가격(보호, 휴식, 얼음, 압박, 고도)이 도움이 될 수 있습니다.

보호는 추가 부상을 방지하는 데 도움이 됩니다. 여기에는 다친 부분의 사용을 제한하거나, 부목이나 깁스를 하거나, 목발을 사용하는 것이 포함될 수 있습니다.

휴식을 취하면 추가 부상을 예방하고 치유를 앞당길 수 있습니다.

얼음찜질과 압박 부기와 통증을 최소화할 수 있습니다. 얼음은 비닐 봉지나 수건에 넣어 처음 24-48시간 동안 간헐적으로(15-20분 동안, 가능한 한 자주) 바릅니다. 부상은 부목, 탄성 붕대 또는 심한 부종을 유발할 가능성이 있는 특정 부상의 경우 Jones 압박 드레싱으로 압박할 수 있습니다. 존스 드레싱은 4겹으로 되어 있습니다. 레이어 1 (가장 안쪽)과 3 층은 면 안솜, 2 층과 4 층은 탄력 붕대입니다.

처음 2일 동안 중단 없는 하강 경로를 제공하는 위치에서 손상된 팔다리를 심장 위로 들어 올리는 것; 이러한 위치는 중력이 부종액을 배출하고 부종을 최소화하는 데 도움이 되도록 합니다.

48시간 후, 15 내지 20분 동안 주기적으로 온기(예를 들어, 발열 패드)를 가하면 통증이 완화되고 치유가 빨라질 수 있다.

이동 불가

고정은 추가 부상을 예방하고 골절 끝을 정렬하도록 유지하여 통증을 줄이고 치유를 촉진합니다. 부상 부위의 근위부와 원위부에 있는 관절은 고정되어야 합니다.

대부분의 골절은 깁스(딱딱한 둘레 장치)로 몇 주 동안 움직이지 못합니다. 빠르게 치유되고 안정적인 골절(예: 어린이의 버클 손목 골절)은 깁스되지 않습니다. 조기 동원이 가장 좋은 결과를 낳습니다.

깁스는 일반적으로 몇 주 동안 움직이지 못해야 하는 골절에 사용됩니다. 드물게, 깁스를 한 상태의 부종은 구획 증후군에 기여할 만큼 심각합니다. 임상의가 깁스 상태에서 심한 부종이 의심되는 경우, 깁스(및 모든 패딩)를 내측 및 측면(이매패류)으로 끝에서 끝까지 절단합니다(이매패류).

깁스를 한 환자에게는 다음을 포함한 서면 지침이 제공되어야 합니다.

  • 캐스트를 건조하게 유지하십시오.
  • 캐스트 내부에 물건을 넣지 마십시오.
  • 매일 깁스의 가장자리와 깁스 주변의 피부를 검사하고 빨갛거나 아픈 부위를 보고하십시오.
  • 부드러운 접착 테이프, 천 또는 기타 부드러운 재료로 거친 가장자리를 패딩하여 캐스트의 가장자리가 피부를 다치게 하지 않도록 합니다.
  • 쉴 때는 가장자리가 피부를 끼거나 파고들지 않도록 작은 베개나 패드를 사용하여 깁스를 조심스럽게 배치하십시오.
  • 부기를 조절하기 위해 가능할 때마다 깁스를 들어 올리십시오.
  • 통증이 지속되거나 깁스가 과도하게 빡빡하다고 느껴지면 즉시 의사의 진료를 받으십시오.
  • 깁스 내부에서 냄새가 나거나 감염을 나타낼 수 있는 열이 발생하면 즉시 의사의 진료를 받으십시오.
  • 구획 증후군을 나타낼 수 있는 통증이 점진적으로 악화되거나 새로운 무감각 또는 쇠약이 나타나면 즉시 치료를 받으십시오.

좋은 위생이 중요합니다.

부목(그림 참조: 급성 치료로서의 관절 고정화: 일반적으로 사용되는 일부 기술)은 의심되지만 입증되지 않은 골절과 며칠 이하의 고정이 필요한 골절의 빠른 치유를 포함하여 일부 안정적인 부상을 고정하는 데 사용할 수 있습니다. 부목은 비원주형입니다. 따라서 환자는 얼음을 바르고 깁스보다 더 많이 움직일 수 있습니다. 또한 약간의 부종을 허용하므로 구획 증후군에 기여하지 않습니다. 궁극적으로 깁스가 필요한 일부 부상은 대부분의 부기가 사라질 때까지 처음에는 부목으로 고

 
 
 

 

급성 치료로서의 관절 고정술: 일반적으로 사용되는 몇 가지 기술

 

 

슬링 어느 정도의 지지력과 편안함을 제공하고 이동성을 제한하며, 특정 골절(예를 들어, 최소 변위된 쇄골 골절, 특정 근위 상완골 골절)에 유용할 수 있으며, 특히 완전한 고정이 바람직하지 않은 경우(예를 들어, 완전히 고정되지 않으면 빠르게 접착성 관절낭염[오십견]으로 이어질 수 있는 어깨 부상)에 유용할 수 있다.

 

 

 

 

 

 

특히 밤에 팔이 바깥쪽으로 흔들리는 것을 방지하기 위해 스와드(천 조각 또는 끈)를 슬링과 함께 사용할 수 있습니다. 스와드는 등과 부상 부위를 감쌉니다. Swathe는 때때로 슬링과 함께 사용되어 한 부분의 근위 상완골 골절을 고정시킵니다.

골절(예를 들어, 일부 척추 또는 골반 골절)에 때때로 필요한 침상 휴식은 문제(예를 들어, 심부 정맥 혈전증, 요로 감염, 근육 조절 저하)를 유발할 수 있다.

관절을 장기간 고정(젊은 성인의 경우 > 3-4주)하면 뻣뻣함, 구축 및 근육 위축을 유발할 수 있으며 일반적으로 권장되지 않습니다. 이러한 합병증은 빠르게 진행될 수 있으며 특히 노인의 경우 영구적일 수 있습니다. 일부 빠르게 치유되는 부상은 처음 몇 일 또는 몇 주 이내에 활동적인 움직임을 재개하는 것이 가장 좋습니다. 이러한 조기 가동은 구축과 근육 위축을 최소화하여 기능 회복을 가속화할 수 있습니다. 부목과 깁스는 완전한 기능의 복귀 가능성을 최적화하는 위치에서 관절을 고정해야 합니다(예: 중수골[MCP] 관절의 고정은 손 힘줄의 연장을 유지하기 위해 MCP 관절을 굴곡 위치에 있어야 함).

물리 치료사는 환자에게 가능한 한 많은 기능을 유지하기 위해 고정 중에 할 수 있는 일에 대해 조언할 수 있습니다. 고정 후 물리 치료사는 환자에게 운동 범위와 근력을 개선하고 손상된 관절을 강화 및 안정화하는 운동을 제공하여 재발 및 장기 장애를 예방하는 데 도움이 될 수 있습니다.

그 외의 절차

관절 치환술(인공관절 치환술)이 필요할 수 있으며, 일반적으로 골절로 인해 대퇴골 위쪽 끝이나 상완골이 심하게 손상된 경우에 필요합니다.

뼈 이식은 뼈 조각 사이의 틈이 너무 큰 경우 즉시 수행할 수 있습니다. 치유가 지연되거나(지연된 유합) 일어나지 않는 경우(불유합) 나중에 수행될 수 있습니다.

치료 참조

  1. 1. WD, Karunakar MA, Angerame MR 등 부족: III형 개방 경골 골절: 즉각적인 항생제 예방으로 감염을 최소화합니다. J Orthop Trauma 29(1):1–6, 2015. 도: 10.1097/BOT.0000000000000262. 정오표: J Orthop Trauma 29(6):e213, 2015. PMID: 25526095
  2. 2. Beaudoin FL, Haran JP, Liebmann O: 고관절 골절이 있는 응급실 환자의 진통을 위한 초음파 유도 20-in-6 대퇴 신경 차단술과 비경구 오피오이드 단독 투여의 비교: 무작위 대조 시험. Acad Emerg Med 584(591):2013–10, 1111년. 도: 12154.<>/acem.<>

Geriatrics Essentials: 골절

나이가 많은 사람들은 다음과 같은 이유로 골절에 취약합니다.

  • 자주 넘어지는 경향(예: 노화에 따른 고유수용감각 상실, 고유수용감각 또는 자세 반사에 대한 약물의 부작용, 기립성 저혈압으로 인해)
  • 낙상 중 보호 반사 기능 장애
  • 노화와 함께 더 흔해지는 골다공증

노화 관련 골절에는 원위 요골, 근위 상완골, 골반, 근위 대퇴골 및 척추의 골절이 포함됩니다.

고령 환자의 경우 치료의 목표는 완벽한 사지 정렬과 길이의 회복보다는 일상 생활 활동으로의 빠른 복귀입니다.

부동축(관절 고정 또는 침상 안정)은 고령 환자에게 부작용을 일으킬 가능성이 더 높기 때문에 골절 치료를 위해 내부 고정을 동반한 개방 축소(ORIF)의 사용이 증가하고 있습니다.

조기 거동(ORIF에 의해 가능)과 물리 치료는 기능 회복에 필수적입니다.

공존하는 장애(예: 관절염)는 회복을 방해할 수 있습니다.

요점

  • 동맥 공급을 방해하는 골절과 구획 증후군은 사지의 생존 능력을 위협하고 궁극적으로 생명을 위협할 수 있습니다.
  • 인대, 힘줄, 근육 부상 및 골절을 확인하십시오. 골절의 존재는 이 평가를 제한하거나 지연시킬 수 있습니다.
  • 부상 부위의 위와 아래의 관절을 검사하십시오.
  • 특히 환자가 고통스럽다고 인식하는 관절의 신체적 소견이 정상인 경우(예: 고관절 골절 환자의 무릎 통증) 참조성 통증을 고려하십시오.
  • 많은 원위 사지 부상(예: 발가락 2-5의 일부 부상, 일부 발목 염좌)의 경우, 골절의 존재가 치료를 변경하지 않기 때문에 골절을 확인하기 위해 엑스레이가 필요하지 않습니다.
  • 엑스레이는 정상이지만 임상적으로 골절이 강하게 의심되는 경우(예: 고관절 통증이 있고 넘어진 후 걸을 수 없는 노인과 초기 엑스레이가 정상인 경우) MRI(때때로 CT)를 고려하십시오.
  • 심각한 관련 부상, 부목 불안정 골절을 즉시 치료하고 가능한 한 빨리 통증을 치료하고 특정 각도 또는 변위 골절을 줄입니다.
  • 불안정한 골절을 즉시 고정시킵니다. 깁스나 부목을 사용하여 감소하자마자 축소가 필요한 모든 골절을 고정합니다.
  • 골절을 PRICE(보호, 휴식, 얼음, 압박, 상승)로 치료합니다.
  • 환자에게 깁스 치료에 대한 명시적인 서면 지침을 제공합니다.
  • 나이가 많은 환자를 치료할 때는 보통 가장 빨리 움직일 수 있는 방법을 선택합니다.